Rastet
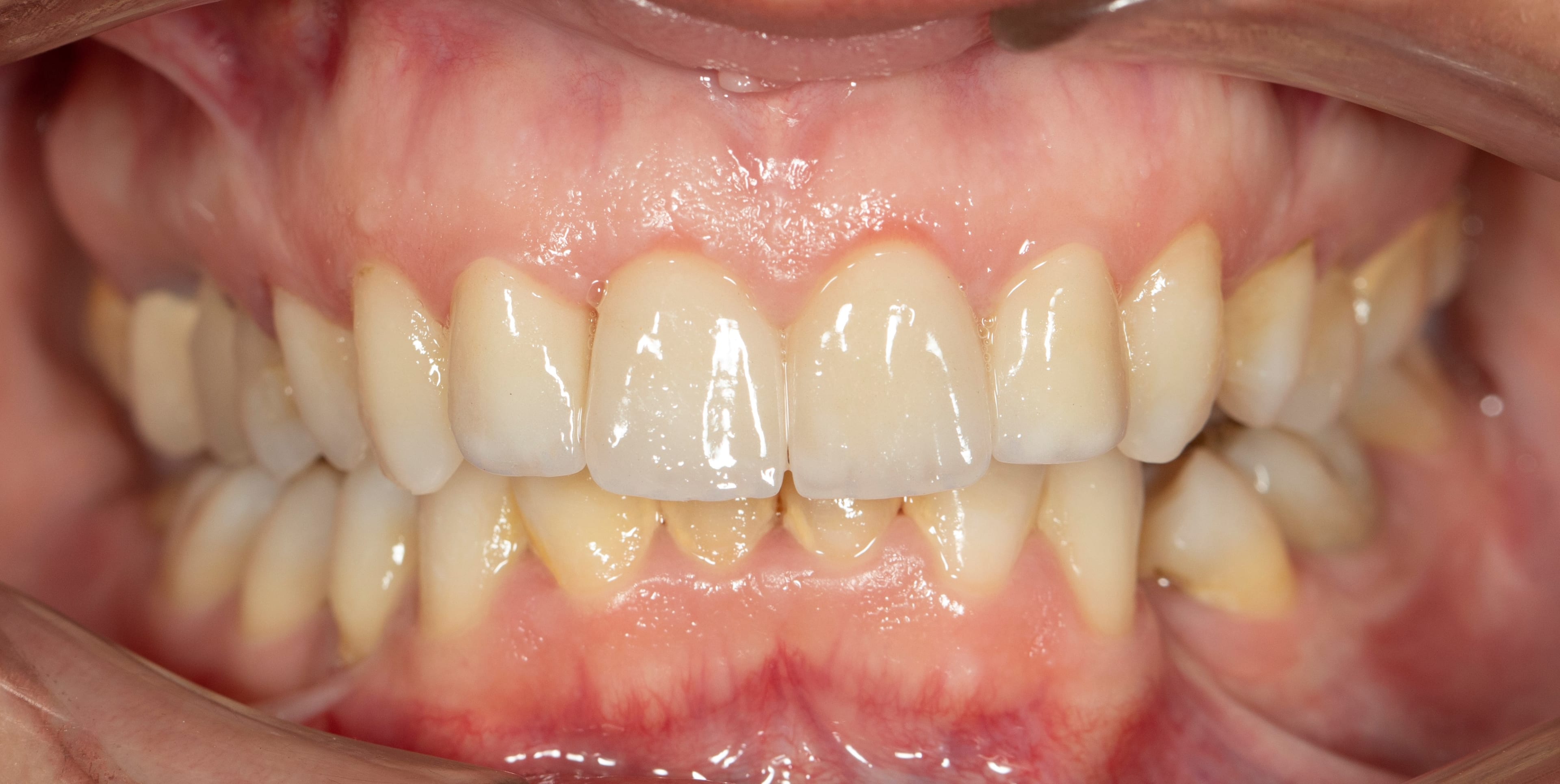
Eksploroni koleksionin tonë të transformimeve dentare. Çdo imazh përfaqëson një udhëtim drejt një më të shëndetshëm, më shumë buzëqeshje e sigurt.
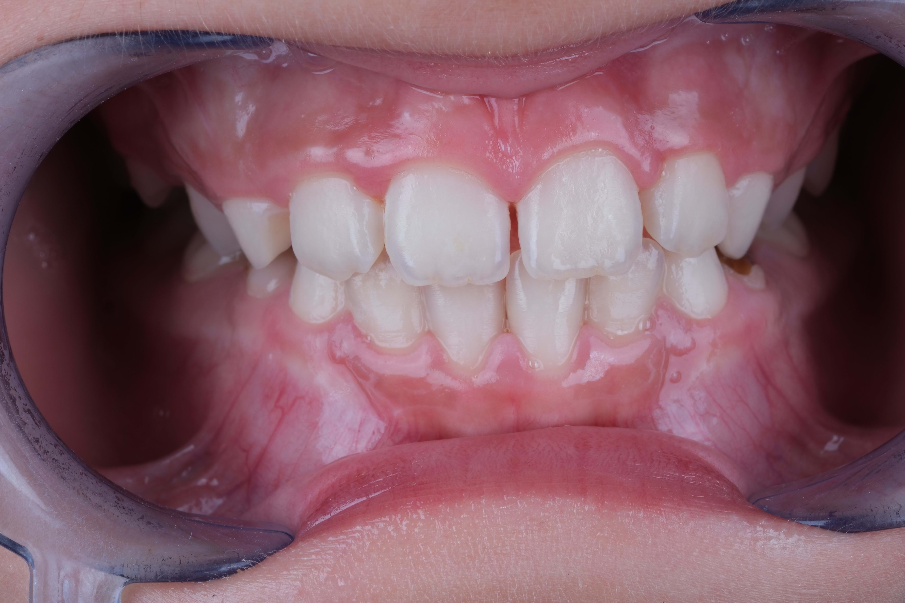
Eksploroni koleksionin tonë të transformimeve dentare. Çdo imazh përfaqëson një udhëtim drejt një më të shëndetshëm, më shumë buzëqeshje e sigurt.